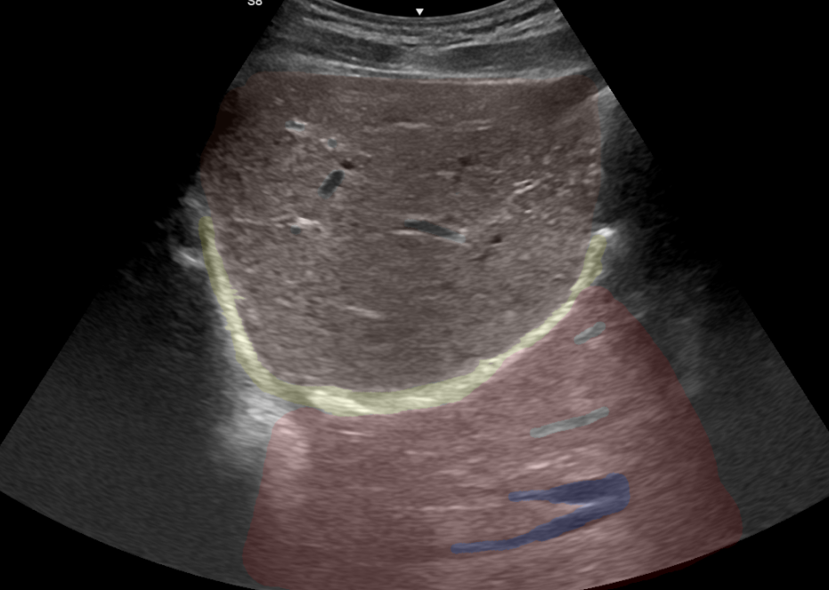
Imagen de adquaicion de un corte axial, con inclincacion craneal, en region subcostal derecha, con dirección hacia el hombro del paciente:
- Apreciamos el parenquima hepatico normal, como una estructura isoecoica homogenea, con vasos portales con refuerzo periportal habitual
- Se aprecia una imagen lineal hiperegogenica curvada, que genera un artefacto de reverberacion
- Tras la imagen , se aprecia parenquima hepático con estructuras vasculares tipicas de venas suprahepáticas
Puedes jugar con los ajustes para ver que sucede con los parametros
Profundidad y frecuencia
Solicion: cambian angulo de incidencia
Cambiar de posicion al paciente
Número de focos: 1-2 focos para optimizar la tasa de frames
Resumen
Un artefacto de espejo en ecografía ocurre cuando el haz de ultrasonido rebota en una superficie altamente reflectante, como una interfase entre dos medios con diferente impedancia acústica (por ejemplo, hueso y tejido blando). Este rebote produce una imagen especular de la estructura real, como si se estuviera viendo su reflejo en un espejo.