Artefactos esenciales en ecografía
El ruido que ayuda

En una de las primeras exploraciones, un médico apreció una sombra oscura detrás de una masa en el abdomen de un paciente. Inicialmente, al no explicarse qué significaba, lo relacionó con un artefacto, un error en la imagen. Sin embargo, al repetir el examen y comparar con otros pacientes, se dio cuenta de que esa sombra siempre aparecía asociada a la misma masa. Intrigado, decidió realizar una cirugía exploratoria, en la cual se descubrió un tumor con una cápsula calcificada, la causa de la sombra. Ese fue el momento en el que comprendió que los artefactos no siempre eran enemigos, sino que podían ser pistas valiosas para descubrir lo desconocido.

Introducción

¿Qué es un artefacto en ecografía?

Un artefacto en ecografía es cualquier estructura o señal que aparece en una imagen ecográfica pero que no corresponde a una estructura anatómica real. Son como "ruidos" o distorsiones en la imagen que pueden dificultar la interpretación y el diagnóstico. Estos fenómenos pueden engañar al ojo inexperto, pero en realidad debemos interpretarlos como pistas escondidas de un rompecabezas. Al comprender los mecanismos de formación de los distintos artefactos, como la sombra acústica, la reverberación y el refuerzo posterior, podemos utilizarlos como herramientas diagnósticas. Por ejemplo, la sombra acústica detrás de un cálculo renal no solo confirma su presencia, sino que también nos brinda información sobre su composición. Esta guía te ayudará a descifrar estos enigmas y a aprovechar al máximo la información que ofrecen las imágenes ecográficas.

El conocimiento de los artefactos es imperativo al realizar ecografías, ya que las interpretaciones incorrectas de los artefactos pueden llevar a diagnósticos erróneos.

Tipos de Artefactos

La ecografía, como cualquier técnica de imagen, está sujeta a la aparición de artefactos que pueden comprometer la precisión del diagnóstico si no son correctamente identificados. Existen muchas clasificaciones, pero en esta guía inicial nos focalizamos en los artefactos más comunes, proporcionando al lector una base sólida para su interpretación. Para aquellos interesados en una exploración más profunda, se recomiendan los módulos avanzados, donde se abordan los artefactos específicos de cada modalidad y los factores físicos que influyen en su formación, identificación, resolución, mitigación..

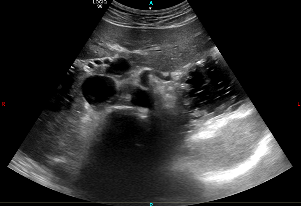
1. Sombra Acústica

La sombra acústicaÁrea oscura detrás de estructuras densas es un artefacto ecográfico que se produce cuando el haz de ultrasonido encuentra una estructura densa o altamente reflectante, como cálculos biliares, huesos o áreas calcificadas. Esta interacción provoca una absorción o reflexión casi total de las ondas de sonido, generando una zona oscura o "sombra" justo detrás de la estructura en la imagen ecográfica.

Corte axial subxifoideo mostrando sombra acústica posterior a la aorta abdominal

Figura 1: Aprecia en este corte axial subxifoideo, como posterior a la aorta abdominal, se aprecia una sombra ...

Figura 2: Aprecia en este video el artefacto de sombra posterior, provocado por el marco oseo de las falanges

Entendiendo la Sombra Acústica: Bases Físicas

Este fenómeno se basa en principios de impedancia acústica, reflexión, transmisión y atenuación. La clave está en la impedancia acústica, una propiedad que depende de la densidad del medio y la velocidad del sonido en dicho medio:

Z = ρ × c

Donde:
Z: Impedancia acústica
ρ: Densidad del medio
c: Velocidad del sonido en el medio
👉

Pulsa sobre la imagen para acceder.

Simulador que muestra el comportamiento del haz de ultrasonido al encontrar estructuras densas

Figura 3: Este tutorial te explica como cuando el haz incide sobre una estructura con alta impedancia acústica, como un cálculo, casi toda la energía se refleja.

👉📟

Ir a Imagineus®

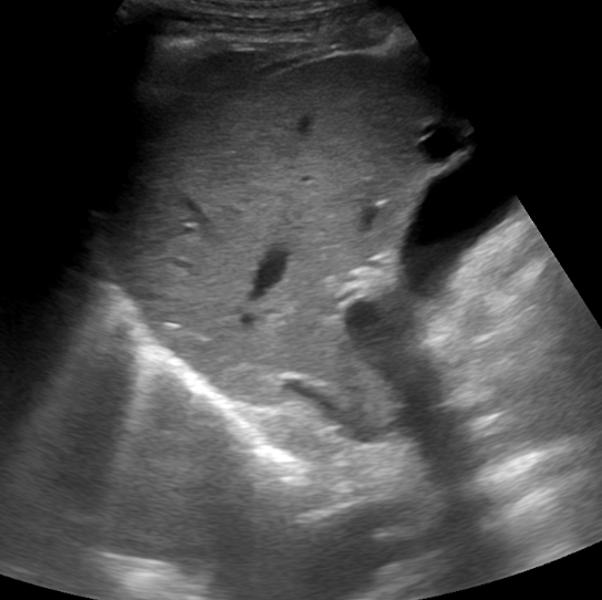
Ecografía abdominal mostrando estructura hiperecogénica con sombra acústica

ImageUs 1: Ecografía abdominal en paciente con dispepsia abdominal, donde se aprecia una estructura que muestra una imagen hiperecogenica lineal curvada que genera un artefacto de sombra acustica posterior. Practica con ImagineUS

Importancia diagnóstica

La sombra acústica posterior es un artefacto ecográfico de gran valor diagnóstico. Su presencia indica que la estructura que la produce es densa, como un cálculo, hueso o calcificación. Esta característica permite diferenciar entre lesiones sólidas y quísticas, y es especialmente útil para identificar cálculos biliares, renales o en otros tejidos.

Importancia clínica

La sombra acústica posterior tiene importantes implicaciones clínicas. Al confirmar la presencia de estructuras densas, orienta al médico hacia el tratamiento más adecuado. Por ejemplo, si se detecta un cálculo renal con sombra acústica, se puede considerar la litotricia como opción terapéutica. Además, permite el seguimiento de lesiones calcificadas a lo largo del tiempo.

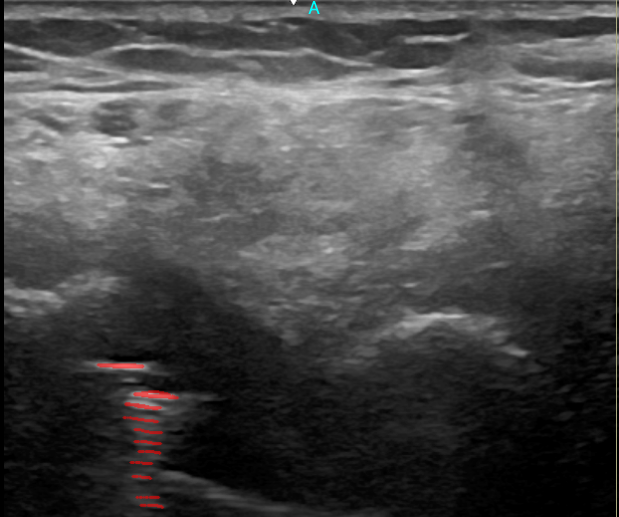
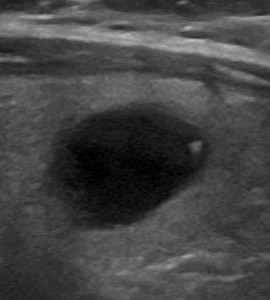
2. Refuerzo Posterior

El refuerzo posteriorÁrea brillante detrás de estructuras llenas de líquido es un artefacto que ocurre cuando las ondas ultrasónicas atraviesan una estructura llena de líquido. Este fenómeno se observa frecuentemente en estructuras como quistes o la vejiga, donde los líquidos, al tener menor atenuación que los tejidos sólidos, permiten un mayor paso de las ondas ultrasónicas, resultando en un área más brillante o "refuerzo" posterior a la estructura.

Ecografía: La vena Cava Inferior muestra un claro artefacto de refuerzo acústico posterior

Vejiga con refuerzo acústico posterior en corte suprapúbico

Corte suprapúbico de vejiga mostrando refuerzo acústico posterior característico

Relevancia Clínica

  • Facilita la diferenciación entre estructuras quísticas y masas sólidas
  • Permite identificar estructuras anatómicas con contenido líquido
  • Ayuda en el diagnóstico diferencial de lesiones benignas
  • Crucial para la evaluación de estructuras como vejiga, quistes ováricos y hepáticos
👉

Accede al simulador interactivo docente

Simulador de Artefacto de refuerzo acústico

Simulador interactivo del artefacto de refuerzo acústico posterior

👉📟

Explora Imagineus®

Simulación de adquisición de imágenes vesicales

Simulación de adquisición de imágenes vesicales con variaciones del refuerzo acústico según el ángulo de incidencia

Importancia Diagnóstica

Este artefacto es fundamental para:

  • El diagnóstico diferencial entre masas quísticas y sólidas
  • La evaluación de estructuras anatómicas con contenido líquido
  • La identificación de lesiones sin interfases internas detectables
  • La caracterización de tejidos en zonas fibrosas

3. Reverberación

La reverberaciónEcos repetitivos que crean líneas paralelas en la imagen es un artefacto que se produce cuando el haz de ultrasonido queda atrapado entre dos superficies altamente reflectantes, como gas, hueso o metal. Este fenómeno genera múltiples ecos que aparecen como una serie de líneas paralelas en la imagen de ultrasonido.

Imagen de reverberación diafragmática mostrando líneas paralelas

Artefacto de reverberación en región diafragmática

Reverberación durante estudio de movilidad esofágica

Características Principales

  • Aparece como líneas paralelas equidistantes
  • Común en interfaces con aire o metal
  • Puede interferir en la visualización de estructuras profundas
  • Útil para identificar colecciones de aire o cuerpos extraños metálicos
👉

Accede al simulador interactivo docente

Simulador interactivo del artefacto de reverberación

Tutorial interactivo sobre el artefacto de reverberación

👉📟

Explora Imagineus®

Simulación de artefacto de reverberación en diferentes tejidos

Simulación avanzada del artefacto de reverberación en diferentes contextos clínicos

Importancia Diagnóstica

  • Detección de neumoperitonio
  • Identificación de cuerpos extraños metálicos
  • Evaluación de interfaces tejido-aire
  • Diagnóstico de colecciones gaseosas patológicas

4. Artefacto en Espejo

El artefacto en espejoEl artefacto en espejo ocurre cuando una onda de ultrasonido se refleja en una superficie muy reflectante, como el diafragma, creando una imagen duplicada. La máquina interpreta los ecos reflejados como si provinieran de una ubicación más profunda, generando una imagen espejo de la estructura original. se produce cuando los ecos se reflejan en una superficie altamente reflectante, como el diafragma, el hígado o la pleura, creando una imagen duplicada de las estructuras anatómicas.

👉

Pulsa para ver el visor interactivo

Artefacto en espejo en región hepática con etiquetas anatómicas

Visor interactivo del artefacto en espejo hepático

👉

Tutorial docente interactivo

Tutorial interactivo sobre el artefacto en espejo

Tutorial interactivo sobre el artefacto en espejo

Mecanismo del Artefacto

Cuando el diafragma actúa como superficie reflectante, las estructuras cercanas aparecen en su posición real y también como una imagen "espejo" al otro lado. Este fenómeno es especialmente común en:

  • Interfaz hígado-diafragma
  • Interfaz pulmón-diafragma
  • Estructuras altamente reflectantes

Importancia Clínica

  • ⚠️ Puede llevar a interpretaciones erróneas si no se reconoce
  • Común en imágenes del hígado y diafragma
  • Requiere experiencia para su correcta identificación
  • Importante en la evaluación de lesiones hepáticas

5. Artefacto de Cola de Cometa

El artefacto de cola de cometaSerie de ecos brillantes que se extienden en profundidad cuando el ultrasonido interactúa con interfaces pequeñas y altamente reflectantes, creando múltiples reflexiones que forman un patrón característico similar a la cola de un cometa. se produce cuando el ultrasonido interactúa con interfaces pequeñas y altamente reflectantes, generando una secuencia de ecos brillantes que se extienden hacia la profundidad de la imagen.

👉📟

Ir a Visor ImagineUS®

Ecografía tiroidea mostrando artefacto de cola de cometa en estructura quística

Visor ImagineUS®: Artefacto de cola de cometa en estructura quística tiroidea

👉

Tutorial docente interactivo

Tutorial interactivo sobre el artefacto de cola de cometa

Tutorial interactivo sobre el artefacto de cola de cometa

👉📟

Ir a ImagineUS®

Artefacto metálico con etiquetas anatómicas

Visor interactivo del artefacto metálico

Mecanismo Físico

El artefacto surge debido a las múltiples reflexiones entre interfaces cercanas con diferencias significativas en la impedancia acústica. Se produce cuando:

  • Hay reflexiones internas dentro de cuerpos extraños
  • Presencia de grapas quirúrgicas o burbujas de gas
  • Interfaces con alta diferencia de impedancia acústica

Importancia Diagnóstica

El artefacto de cola de cometa tiene un significativo valor diagnóstico:

  • Identificación de cuerpos extraños en tejidos
  • Detección de burbujas de aire (ej. neumotórax)
  • Visualización de cálculos en vesícula biliar
  • Localización de dispositivos médicos implantados
👉📟

Ejemplo radiográfico

Radiografía simple mostrando prótesis de hombro

Placa simple que muestra prótesis de hombro y su relación con artefactos

6. Artefacto de Anisotropía

La anisotropíaArtefacto común en ecografía músculo-esquelética que ocurre cuando el ángulo del haz de ultrasonido cambia con respecto a la estructura en estudio, resultando en una señal más débil cuando el haz no es perpendicular. es un artefacto común en ecografía músculo-esquelética y ocurre cuando el ángulo del haz de ultrasonido cambia con respecto a la estructura en estudio, como los tendones.

👉

Tutorial docente interactivo

Tutorial interactivo sobre artefacto de anisotropía en ecografía

Simulador gráfico que expresa y muestra el Artefacto de anisotropía

👉📟

Ir a ImagineUS®

Ecografía mostrando tendón del supraespinoso en su inserción en troquiter

Simulación de la adquisición ecográfica del tercer dedo en movimiento, mostrando la flexión del flexor y los artefactos como la sombra acústica posterior al hueso y la anisotropía.

Mecanismo Físico

La señal reflejada depende del ángulo de incidencia:

  • Cuando el haz no es perpendicular a la estructura, el eco retornado es más débil
  • Produce una imagen más oscura que puede confundirse con patología
  • Es especialmente relevante en la evaluación de tendones

Importancia Diagnóstica

Este artefacto tiene importantes implicaciones clínicas:

  • Fundamental para evaluar la función de los tendones
  • Permite evaluar el movimiento del tendón flexor del tercer dedo
  • Ayuda a evitar diagnósticos erróneos
  • Indica la necesidad de ajustar el ángulo de adquisición para obtener imágenes precisas

En la evaluación ecográfica, se pueden observar dos fenómenos importantes: la sombra acústica posteriorUna región oscura detrás de estructuras densas como el hueso debido a la atenuación del sonido. generada por el hueso, y el artefacto de anisotropíaLa apariencia variable de las estructuras según el ángulo de incidencia del ultrasonido..

Importancia de los Artefactos en la Práctica Clínica

Comprender los artefactos en ecografía es fundamental por varias razones:

Técnicas para Minimizar Artefactos

Aunque algunos artefactos son útiles, a menudo es deseable minimizarlos para obtener imágenes más claras:

El dominio de los artefactos en ecografía es un proceso continuo que combina conocimiento teórico con experiencia práctica. A medida que la tecnología de ultrasonido evoluciona, también lo hacen las técnicas para manejar y aprovechar estos fenómenos únicos de imagen.

Próximamente estará disponible un tema ampliado sobre artefactos en ecografía, donde se explorarán en mayor profundidad las causas, efectos y aplicaciones clínicas de estos fenómenos. Mantente atento a nuevas actualizaciones en ImagineUS.

Al hacer click en la imagen, accederás al ImagineUS Simulator.