Principios Básicos de los Ultrasonidos
La ecografía un pincel que pinta el interior.

Cada paciente es un lienzo en blanco, y el ecógrafo, nuestro pincel. Al igual que un pintor necesita dominar las técnicas y la teoría del color, el ecógrafo requiere un profundo conocimiento de los principios físicos y anatómicos. Con cada exploración, creamos una obra de arte, una imagen que nos revela los secretos del cuerpo humano. La ecografía es más que una técnica, es un arte que combina la ciencia con la sensibilidad

Del Pulso Eléctrico a la Imagen

El proceso de transformacion en Imagen ecografíca

El proceso de convertir una señal en una imagen diagnóstica en ecografía es una tecnología avanzada que implica una serie de pasos fundamentales. Todo comienza con el impulso eléctrico inicial: el sistema ecográfico envía un impulso eléctrico al transductor, activándolo para iniciar la generación de ultrasonidos. Este transductor, al recibir el impulso, convierte la electricidad en pulsos de ultrasonido de alta frecuencia que se dirigen hacia el interior del cuerpo.

Una vez emitidas, las ondas de ultrasonido viajan a través de los tejidos y se comportan de manera única cuando encuentran interfaces entre estructuras de distintas densidades. Al alcanzar una de estas interfaces, una parte de la onda se refleja y retorna como eco, mientras que el resto continúa avanzando. Este fenómeno de propagación y reflexión de las ondas es fundamental para captar información sobre las distintas capas y tipos de tejido en el cuerpo.

Cuando los ecos reflejados regresan al transductor, éste realiza una conversión de ecos en señales eléctricas. La intensidad de estas señales varía según la profundidad y el tipo de tejido que encuentran en su camino. El sistema ecográfico, entonces, recibe estas señales y las organiza en una imagen en escala de grises. En esta representación visual, las áreas brillantes (o hiperecoicas) indican ecos fuertes reflejados por tejidos densos, mientras que las áreas oscuras (hipoecoicas o anecoicas) representan ecos más débiles o incluso la ausencia de ellos, típicos de tejidos blandos o llenos de líquido.

Finalmente, esta serie de procesos permite la visualización en tiempo real de las estructuras internas del cuerpo. Gracias a esta capacidad de observación instantánea, la ecografía facilita diagnósticos rápidos y precisos, proporcionando a los profesionales de la salud una herramienta invaluable para el estudio de órganos y tejidos sin necesidad de procedimientos invasivos.

👉 Al pulsar sobre la imagen accederás a un jugable docente.
Interacción Sonido con tejidos: Just do It!

Figura 4: Genesis y Recepcion del Sonido (Si pulsas Sobre la imagen podras acceder a un gif animado)]

Piezoelectricidad y su Aplicación en Ecografía

La piezoelectricidad es una propiedad fascinante de ciertos materiales, como el cuarzo, que les permite generar una carga eléctrica cuando son sometidos a presión o tensión mecánica. Este fenómeno resulta aún más sorprendente por su carácter reversible: si aplicamos un campo eléctrico a estos materiales, se deforman físicamente. Esta capacidad única es esencial para la generación y detección de ondas de ultrasonido en ecografía.

Generación de Ultrasonidos

En el proceso de ecografía, el fenómeno piezoeléctrico es aprovechado para crear ultrasonidos. Todo comienza con una corriente alterna, es decir, una corriente que cambia continuamente de polaridad, la cual es aplicada a un cristal piezoeléctrico en el transductor. Este campo eléctrico alterno induce una oscilación en el cristal, haciéndolo vibrar. Estas vibraciones mecánicas se transmiten al medio circundante, como los tejidos del paciente, en forma de ondas sonoras de alta frecuencia, que conocemos como ultrasonidos.

Detección de Ecos

Cuando las ondas ultrasónicas encuentran una interfase entre dos tejidos de distinta densidad, como músculo y hueso, una parte de la energía se refleja de vuelta hacia el transductor. Al recibir estas ondas reflejadas, el cristal piezoeléctrico vuelve a vibrar. Esta vibración genera una corriente eléctrica proporcional a la amplitud de las ondas reflejadas. Luego, el sistema de ultrasonido amplifica y procesa esta señal eléctrica para formar la imagen diagnóstica.

👉 Al pulsar sobre la imagen accederás a un jugable docente.
Interacción Sonido con tejidos: Just do It!

Figura 4: Piezoelectricidad. Simulación docente.

Un Símil para Facilitar la Comprensión

Un cristal piezoeléctrico se comporta de manera similar a un diapasón. Al golpear un diapasón, este vibra y emite un sonido; en el caso del cristal piezoeléctrico, en lugar de golpearlo, se le aplica una corriente eléctrica para inducir la vibración. Y así como el diapasón puede captar vibraciones de otros objetos que resuenan a su misma frecuencia, el cristal piezoeléctrico "escucha" los ecos de las ondas ultrasónicas que regresan, permitiendo visualizar las estructuras internas del cuerpo con precisión.

Cristales Piezoeléctricos

Los cristales piezoeléctricos son cristales que tienen la capacidad de generar una carga eléctrica cuando se les aplica presión mecánica (por ejemplo, el cuarzo). Estos mismos cristales convierten el eco de ultrasonido ( onda ultrasonica) que regresa en una señal eléctrica, que luego el procesor de nuestro equipo convierte mediante procesos complejos en una imagen.

Los transductores de ultrasonido utilizan cristales piezoeléctricos para generar y recibir señales ultrasónicas. Cuando se aplica una corriente eléctrica, estos cristales vibran y producen ondas de ultrasonido, y viceversa.

Transductores Ultrasónicos

Los cristales especiales que están situados en la superficie de contacto del transductor son estimulados por una corriente eléctrica y mediante el fenómeno piezoeléctrico generan ondas ultrasónicas, que se transmiten al tejido a través de un gel de acoplamiento entre la sonda y la piel del paciente. Este proceso se basa en el principio del efecto piezoeléctrico.

Los mismos cristales sirven como receptores de las ondas ultrasónicas de retorno, lo que significa que las ondas sonoras reflejadas por el tejido son absorbidas por los cristales transductores y generan señales eléctricas específicas.

Estas señales se descodifican y procesan para obtener información de imagen. Aunque se producen millones de ondas sonoras por segundo cuando el cristal es agitado por una corriente y funciona como transmisor, más del 99% del tiempo se dedica a recibir las ondas sonoras de retorno. Esto garantiza que se registren todos los ecos de retorno, ya que se tarda más tiempo en recibir las ondas de retorno procedentes de mayores profundidades.

Los ecos del haz emitido suelen dispersarse y reflejarse al encontrar tejido inhomogéneo o saltos de impedancia en la transición entre dos tipos de tejido o estructuras. Esto creará ondas de retorno con diferentes intensidades y tiempos de tránsito. Esta información es evaluada por el software de la máquina de ultrasonidos y da lugar a la imagen que se muestra en el monitor.

👉 Al pulsar sobre la imagen accederás a un jugable docente.
Interacción Sonido con tejidos: Just do It!

Figura 4: Genesis y Recepcion del Sonido (Si pulsas Sobre la imagen podras acceder a un gif animado)]

Tipos de Transductores

Sondas Presentacion

Transductores convexos: Se utilizan normalmente en la ecografía abdominal y pélvica. Los cristales se disponen unos junto a otros a lo largo de una superficie curva (convexa). Esto permite ampliar el campo de visión, especialmente en la visualización en profundidad, pero también asegura una buena resolución en el campo cercano.

Transductores lineales: Utilizan cristales colocados uno al lado del otro en línea recta, produciendo una resolución mayor y más uniforme a expensas de la penetración en profundidad.

Transductores de matriz vectorial: Ampliar la ventana acústica de forma trapezoidal, útil para evaluar estructuras superficiales con alta resolución, pero puede producir más artefactos en partes curvas del cuerpo.

Transductores sectoriales: Utilizan elementos de cristal individuales más pequeños y estrechos, generando campos sonoros esféricos que dan lugar a una imagen en forma de abanico o pastel. Son eficaces para la visualización de la profundidad, pero pierden información en el campo cercano.

Además, el uso de sondas inalámbricas más recientes podría adquirir mayor protagonismo, lo que permitiría un examen más cómodo, especialmente en el campo de la ecografía intervencionista.

¡Importante! Al pulsar sobre la imagen accederás a un jugable docente.
Interacción Sonido con tejidos: Just do It!

Figura 5: Tipos comunes de transductores de ultrasonido ( si presionas en sobre la imagen podras ver una animacion gráfica de los diferntes tipos transductores )]

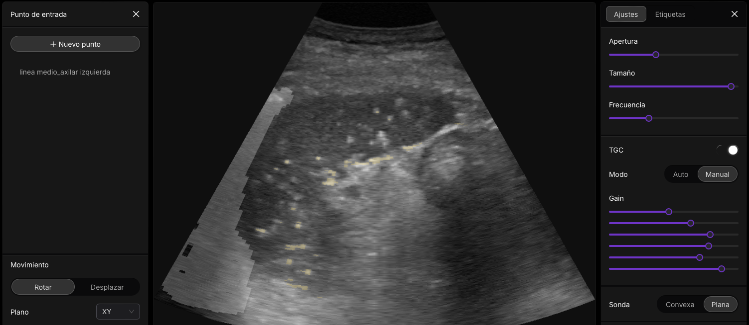
👉 Pulsa sobre la imagen para acceder.
Interacción Sonido con tejidos: Just do It!

Figura 6: Accede a Imagine Ultrasound Y Cambia de Sonda]

De la Señal a la Imagen

Los sistemas de ultrasonido modernos optimizan continuamente y automáticamente la imagen mientras se escanea. Sin embargo, algunos parámetros pueden ser ajustados por el usuario para optimizar aún más la imagen:

Demostración Interactiva: Ajuste de Parámetros de Ultrasonido

De la Señal a la Imagen

La conversión de la señal de ultrasonido en imágenes implica el uso de algoritmos sofisticados que interpretan los ecos y generan representaciones visuales.

De los Ecos a la Imagen: Un Proceso Complejo

La Importancia de la Visión

Los ecos de retorno en una ecografía contienen toda la información necesaria para reconstruir una imagen de los tejidos. Sin embargo, nuestro cerebro está altamente especializado en procesar información visual, por lo que convertir los datos acústicos en imágenes es esencial para que los médicos puedan interpretarlos de manera efectiva. La transformación de sonidos en imágenes facilita la evaluación precisa de estructuras internas.

Analogía con la Luz Estroboscópica

La ecografía puede compararse con una luz estroboscópica que "ilumina" rápidamente una escena en fragmentos sucesivos. Cada pulso de ultrasonido actúa como un destello que ilumina una “lámina” del tejido. Al repetir este proceso miles de veces por segundo, se obtienen múltiples "fotogramas" que, al combinarse, forman una imagen en movimiento continua y precisa del tejido.

Duración de los Pulsos y Frecuencia de Repetición

Un pulso típico de ultrasonido dura unos pocos ciclos de onda sonora, que equivalen a unos pocos microsegundos. La frecuencia de repetición de estos pulsos, medida en megahercios (MHz), determina la resolución temporal de la imagen. Una frecuencia de repetición más alta permite obtener imágenes con mayor detalle temporal, aunque disminuye la profundidad de penetración del ultrasonido, afectando la claridad de las estructuras más profundas.

El Ciclo de Trabajo

El ciclo de trabajo es la proporción de tiempo en que el transductor está emitiendo pulsos en comparación con el tiempo total de operación. Un ciclo de trabajo bajo significa que el transductor está emitiendo pulsos solo durante una pequeña fracción del tiempo total, lo cual reduce el calentamiento de los tejidos y mejora la relación señal-ruido, resultando en imágenes más claras y en menor riesgo para el paciente.

Calentamiento Tisular

La energía emitida por el transductor de ultrasonido se disipa en los tejidos en forma de calor. Un calentamiento excesivo puede dañar los tejidos, por lo que es importante ajustar los parámetros del ultrasonido para minimizar este efecto y garantizar la seguridad del paciente. Los ajustes de la potencia de emisión y el ciclo de trabajo ayudan a mantener el calor en niveles seguros.

Procesamiento de la Señal y Formación de la Imagen

La creación de una imagen ecográfica requiere una serie de complejos pasos de procesamiento de la señal:

👉 Al pulsar sobre la imagen accederás a un jugable docente.
Interacción Sonido con tejidos: Just do It!

Figura 5: Tipos comunes de transductores de ultrasonido ( si presionas en sobre la imagen podras ver una animacion gráfica de los diferntes tipos transductores )]

Del Eco a la Señal Eléctrica

Cuando las ondas de ultrasonido chocan con los tejidos, los ecos son devueltos al transductor, donde se convierten nuevamente en señales eléctricas para su procesamiento.

Interacción Sonido con tejidos: Just do It!

[Figura 6: Accede a un jugable interactivo, que muestra como procesamos la Señal]

Procesamiento de la Señal

El procesamiento de señal implica filtrar, amplificar y reconstruir las ondas de ultrasonido para mejorar la resolución de la imagen.

Interacción Sonido con tejidos: Just do It!

Figura 7: Accede a un jugable interactivo y mira como lla decodificacion afecta a la imagem ]

Formación de la Imagen

La formación de la imagen se basa en la interpretación de las señales eléctricas recibidas y su representación visual en una pantalla.

Interacción Sonido con tejidos: Just do It!

Figura 8: Accede a un jugable interactivo y mira como la decodificacion afecta a la imagen.]

Concepto Clave: Resolución

La resolución de la imagen ecográfica está determinada por la frecuencia del ultrasonido y la capacidad del transductor para distinguir entre dos estructuras adyacentes.

El Perfil del Haz de Ultrasonido

Imagina que el transductor de ultrasonido es una linterna submarina que emite un haz de luz (en este caso, ondas sonoras) hacia el cuerpo. Este haz no es un rayo perfecto y estrecho, sino que tiene un perfil específico:

Campo de exploracion de un transductor Just do It!

Figura _: Accede a un tutorial sobre el perfil del haz ultrasonico en ecografia ]

Componentes de la Resolución Espacial

La resolución espacial se refiere a la capacidad de distinguir dos estructuras cercanas como entidades separadas en una imagen ecográfica. Existen tres tipos principales:

Resolución axial:

Campo de exploracion de un transductor Just do It!

Figura _: Accede a un tutorial sobre el perfil del haz ultrasonico en ecografia ]

👉 Pulsa sobre la imagen para acceder.
Interacción Sonido con tejidos: Just do It!

Figura 6: Accede a Imagine Ultrasound Y Cambia de Sonda]

Resolución lateral:

  • Definición: Capacidad de distinguir dos estructuras ubicadas una al lado de la otra, perpendicularmente al haz de ultrasonido.
  • Dependencia: Depende del ancho del haz de ultrasonido. En la zona focal, el ancho del haz es mínimo, por lo que la resolución lateral es máxima.
  • Dependencia de la profundidad: Fuera de la zona focal, el haz se ensancha, disminuyendo la resolución lateral.
Interacción Sonido con tejidos: Just do It!

Figura 8: Accede a un tutorial sobre la resolucion en ecografia y entiende la resolucion.]

👉 Pulsa sobre la imagen para acceder.
Interacción Sonido con tejidos: Just do It!

Figura 6: Accede a Imagine Ultrasound Y Cambia de Sonda]

Resolución elevacional:

  • Definición: Capacidad de distinguir dos estructuras ubicadas una encima de la otra, perpendicularmente al plano de la imagen.
  • Dependencia: Similar a la resolución lateral, depende del grosor de la sección del haz. En la zona focal, el grosor de la sección es mínimo, por lo que la resolución elevacional es máxima.

Resolución Temporal:

  • Definición: Capacidad del sistema para capturar y mostrar eventos rápidos o cambios en el tiempo. En ecografía, esto es importante para observar estructuras en movimiento, como el flujo sanguíneo o el funcionamiento del corazón.
  • Dependencia: Depende de la frecuencia de los pulsos ultrasónicos y de la capacidad de procesamiento del equipo ecográfico. Una resolución temporal alta permite capturar movimientos más rápidos con mayor detalle.
  • Importancia: En procedimientos dinámicos como la observación del flujo sanguíneo o el movimiento del diafragma, la alta resolución temporal asegura que los cambios rápidos sean capturados adecuadamente.
👉 Pulsa sobre la imagen para acceder.
Interacción Sonido con tejidos: Just do It!

Figura 6: Accede a Imagine Ultrasound Y Cambia de Sonda]

Resolución de Contraste:

  • Definición: Capacidad del sistema para diferenciar estructuras con pequeñas diferencias en la ecogenicidad. Esto es crucial para evaluar tejidos blandos y detectar anomalías como tumores o quistes en el hígado.
  • Dependencia: Depende de la frecuencia del transductor y de la capacidad del equipo para distinguir diferencias sutiles en la intensidad de la señal reflejada por los tejidos.
  • Importancia: Una alta resolución de contraste es esencial para observar detalles finos de las estructuras internas y permite identificar incluso pequeñas alteraciones, como una leve esteatosis hepática o lesiones quísticas en los órganos abdominales.

Entender este proceso es fundamental para interpretar correctamente las imágenes de ultrasonido y reconocer posibles artefactos, tema que abordaremos en la siguiente sección.

+ Evalua tus competencia

© 2024 Todos los derechos reservados. Este contenido está protegido por derechos de propiedad intelectual.

Autor: PhD. Dr. J. Calabia | Diseño Web: Giveme5d.com