Parámetros esenciales para optimizar una ecografía
Aprendiendo lo básico para empezar

La ecografía no es solo una herramienta médica; es un arte que transforma la ciencia en imágenes llenas de significado. Cada paciente se convierte en un lienzo único, y el ecógrafo, en el pincel con el que trazamos las líneas de la anatomía y los matices de la fisiología. Para dominar esta técnica, es esencial comprender y ajustar los parámetros del equipo, como la profundidad, el enfoque y la ganancia, que actúan como los colores y las texturas en una obra de arte. Cada ajuste precisa sensibilidad y conocimiento, pues con cada exploración no solo capturamos una imagen, sino una historia completa del cuerpo humano, escrita en ondas y reflejos.

La ecografía es una técnica de imagen médica crucial que permite examinar las estructuras internas del cuerpo de manera rápida, segura y no invasiva. La calidad de las imágenes obtenidas depende en gran medida de la configuración adecuada de varios parámetros técnicos. En este apartado, exploraremos los aspectos clave para optimizar una ecografía, desde la selección de la sonda hasta los ajustes del equipo y el procesamiento de imágenes, destacando cómo cada decisión técnica impacta en la calidad diagnóstica.

Seleccion de sonda & presets

La elección de la sonda adecuada es fundamental en ecografía, ya que sus características determinan directamente la calidad de la imagen. La frecuencia, medida en megahercios (MHz), es un factor clave: las sondas de alta frecuencia, como las lineales, proporcionan una excelente resolución espacial para estructuras superficiales, como tendones y vasos sanguíneos, aunque con menor penetración. Por otro lado, las sondas de baja frecuencia, como las convexas, permiten explorar estructuras profundas como el hígado o el bazo, aunque con una resolución espacial más limitada.

La curvatura de la sonda también influye en el campo de visión. Las sondas convexas y microconvexas, por ejemplo, son ideales para explorar áreas anatómicas más amplias, mientras que las lineales son más precisas en zonas pequeñas y superficiales. Además, factores como el número de elementos piezoeléctricos y su disposición afectan tanto la calidad de la imagen como la capacidad de adaptación de la sonda a distintas necesidades clínicas.
Un conocimiento adecuado de las sondas, los modos de ultrasonido, los controles del ecógrafo y las orientaciones básicas es esencial para optimizar el uso del equipo y obtener imágenes diagnósticas de alta calidad. Por ejemplo, una sonda microconvexa, gracias a su equilibrio entre frecuencia, penetración y campo de visión, es ideal para estudios abdominales generales y otras aplicaciones versátiles.

Preguntas Fundamentales para Elegir un Transductor

Antes de iniciar cualquier exploración ecográfica, considere las siguientes preguntas para guiar su elección:

  • ¿Cuál es la aplicación clínica específica?
    Determine si la exploración está dirigida a tejidos superficiales, estructuras profundas, cavidades, o si se requiere para procedimientos invasivos o intervencionistas.
  • ¿Cuál es la profundidad de las estructuras a visualizar?
    Evalue si necesita un transductor de alta frecuencia (mayor resolución para estructuras superficiales) o baja frecuencia (mayor penetración para estructuras profundas).
  • ¿Qué tamaño de area de contacto ( huella) acustica necesario?
    El área de acceso influye en la elección del transductor. Una sonda area de contacto pequeña, como la microconvexa, es ideal para espacios reducidos o exploraciones pediátricas, mientras que las sondas sectoriales o convexas son más versátiles para grandes áreas.
  • ¿El procedimiento incluye intervenciones?
    Para procedimientos como biopsias o drenajes guiados, una sonda con canal para aguja puede ser preferible para facilitar la precisión y la seguridad.
  • ¿Está involucrada una cavidad corporal?
    Las cavidades específicas, como la pelvis o un absceso profundo, pueden requerir sondas especializadas, como las endocavitarias o endorectales, para optimizar el contacto y mejorar la calidad de la imagen.

Este enfoque sistemático asegura que el transductor seleccionado no solo cumpla con los requisitos técnicos, sino que también facilite una exploración eficiente y diagnósticos más precisos.

La fabricación de sondas de ultrasonido es un proceso altamente técnico que involucra una serie de parámetros críticos. Estos parámetros, desde el material del transductor hasta la frecuencia de resonancia, determinan en gran medida las características de la imagen obtenida, como la resolución, la penetración y la capacidad de visualizar diferentes tejidos. Una correcta selección y combinación de estos parámetros es esencial para garantizar un diagnóstico preciso y confiable en diversas aplicaciones clínicas.

👉 Pulsa sobre la imagen para acceder.
Pasos básicos del camino de los ultrasonidos

Figura 2: Parámetro habituales en la fabricación de las sondas

👉 Pulsa sobre la imagen para acceder.
Pasos básicos del camino de los ultrasonidos

Figura 2:Preset de Sondas

La elección de la sonda adecuada es fundamental en la ecografía, ya que influye directamente en la calidad de la imagen y la capacidad para evaluar estructuras a distintas profundidades. Los factores principales a considerar son la profundidad de la estructura a examinar y la resolución deseada. Las sondas se clasifican por su frecuencia, ángulo de apertura y forma, lo que determina su capacidad de penetración y resolución.

Factores Clave en la Selección de la Sonda

  • Profundidad de la lesión:
    • Lesiones superficiales: Sondas lineales de alta frecuencia (7-15 MHz) ofrecen excelente resolución para tejidos cercanos como músculos, tiroides o tejido subcutáneo.
    • Lesiones profundas: Sondas convexas de baja frecuencia (2-5 MHz) permiten mayor penetración, ideales para abdomen y retroperitoneo.
  • Tamaño y forma de la estructura:
    • Estructuras pequeñas: Sondas lineales compactas ofrecen mejor detalle.
    • Estructuras grandes: Sondas convexas abarcan áreas más extensas.
  • Accesibilidad:
    • Zonas de difícil acceso: Sondas microconvexas o endocavitarias permiten evaluar áreas estrechas o profundas.

Tabla Resumen de Selección de Sondas

Tipo de Sonda Frecuencia (MHz) Profundidad de Penetración Resolución Uso Típico
Lineal 7-15 Baja Alta Tejidos superficiales, tiroides, músculos
Convexa 2-5 Alta Moderada Abdomen, pelvis, partes blandas
Microconvexa 5-10 Moderada Alta Partes pequeñas, pediatría
Endocavitaria 5-10 Baja Alta Órganos pélvicos, transesofágica

Principios de Seguridad en Ecografía

Durante una ecografía, es crucial garantizar la seguridad del paciente minimizando los riesgos térmicos y mecánicos.

  • Índice Térmico (TI): Evalúa el riesgo de calentamiento en los tejidos.
  • Índice Mecánico (MI): Mide el riesgo de efectos como cavitación y formación de burbujas.

Recomendaciones para Minimizar los Riesgos:

  • Utilizar la menor potencia necesaria para obtener imágenes claras.
  • Reducir el tiempo de exposición en una zona específica.
  • Evitar focalizar el haz en áreas sensibles como ojos o testículos.
  • Emplear modos de baja potencia, como el modo M, cuando sea posible.
👉📟 Ir a Imagineus®.
Interacción Sonido con tejidos: Just do It!

Imagenus 1: Ejemplo de imagen ecográfica mostrando estructuras hiper, hipo e isoecogénicas (calota craneal hueso, grasa, lipoma)

👉 Al pulsar sobre la imagen accederás a un jugable docente.
Interacción Sonido con tejidos: Just do It!

Figura 4: Interacción Sonido con tejidos: Just do It!

Multifrecuencias

La Importancia de la Frecuencia en la Ecografía

La frecuencia de una sonda de ultrasonido es un parámetro clave que determina dos aspectos fundamentales de la imagen ecográfica:

  • Resolución espacial: Una frecuencia más alta proporciona imágenes con mayor nivel de detalle, ideales para estructuras superficiales y de pequeño tamaño.
  • Profundidad de penetración: Una frecuencia más baja permite explorar tejidos profundos, aunque con menor detalle en la imagen.

Este equilibrio entre resolución y penetración es esencial para adaptar la ecografía a diferentes necesidades clínicas.

Sondas Multifrecuencia: Versatilidad en un Solo Transductor

Las sondas multifrecuencia representan una evolución tecnológica que permite a los operadores seleccionar la frecuencia más adecuada en tiempo real. Esto otorga una flexibilidad única para adaptarse a la variedad de estructuras y profundidades anatómicas en un mismo examen.

¿Cómo funcionan?

Estas sondas utilizan cristales piezoeléctricos capaces de vibrar a diferentes frecuencias. Con la ayuda de un software especializado, el ecógrafo ajusta la frecuencia en función de las necesidades del estudio, optimizando la calidad de imagen y la penetración.

Beneficios Clave de la Frecuencia en la Imagen Ecográfica

  • Resolución espacial: Frecuencias altas son ideales para identificar bordes, pequeños nódulos y detalles vasculares en estructuras superficiales.
  • Penetración: Frecuencias bajas facilitan la visualización de tejidos profundos como el retroperitoneo y órganos abdominales.
  • Atenuación: En tejidos con alta atenuación (como huesos), las frecuencias bajas son más eficaces, ya que preservan la señal ultrasónica en trayectorias largas.
👉 Pulsa sobre la imagen para acceder.
Pasos básicos del camino de los ultrasonidos

Figura 2:Preset de Sondas

Aplicaciones Prácticas en la Clínica

  • Estructura a estudiar: Tiroides, mamas y estructuras superficiales requieren frecuencias altas (7-15 MHz). Hígado, riñones y órganos profundos se benefician de frecuencias más bajas (2-5 MHz).
  • Tamaño de la lesión: Lesiones pequeñas demandan alta resolución, mientras que las grandes pueden ser evaluadas con frecuencias menores.
  • Ventana acústica: La presencia de gas o aire atenúa la señal; aquí las frecuencias bajas son más efectivas para penetrar estas barreras.

La Frecuencia y la Imagen Dinámica (Modo M)

El modo M, utilizado para evaluar movimientos en tiempo real, como los cardíacos o vasculares, se beneficia de una adecuada selección de frecuencia. Esto optimiza la claridad de los movimientos observados, facilitando diagnósticos precisos en estructuras móviles.

Campo de Apertura

El campo de apertura de una sonda se refiere al ángulo de divergencia del haz ultrasónico emitido por el transductor. Este parámetro determina la amplitud del haz conforme penetra en los tejidos, afectando la resolución y el área cubierta en cada exploración.

  • Sondas lineales: Tienen un campo de apertura pequeño y estrecho, lo que proporciona una resolución lateral excelente, ideal para estructuras superficiales como músculos, tendones y vasos sanguíneos cercanos.
  • Sondas convexas: Su campo de apertura es más amplio, permitiendo la visualización de un área mayor, lo que las hace perfectas para órganos abdominales profundos como el hígado, bazo y riñones.
  • Sondas microconvexas: Con un campo de apertura intermedio, estas sondas son versátiles, adecuadas para una variedad de aplicaciones que requieren un equilibrio entre resolución y penetración.
  • Sondas endocavitarias: Estas sondas tienen un campo de apertura muy pequeño, lo que les permite visualizar estructuras pequeñas y de difícil acceso con una resolución excepcional.

Campo de Visión

El campo de visión se refiere al área de tejido visible en una sola imagen y está directamente relacionado con el campo de apertura de la sonda.

  • Sondas lineales: Ofrecen un campo de visión rectangular y estrecho, adecuado para visualizar estructuras alargadas y superficiales.
  • Sondas convexas: Presentan un campo de visión sectorial, lo que les permite explorar áreas más grandes y estructuras curvas.
  • Sondas microconvexas: Proporcionan un campo de visión intermedio, combinando características de sondas lineales y convexas.
  • Sondas endocavitarias: Tienen un campo de visión más limitado, pero con una alta resolución para estructuras pequeñas y de difícil acceso.
👉 Pulsa sobre la imagen para acceder.
Pasos básicos del camino de los ultrasonidos

Figura 2:Preset de Sondas

Relación entre Campo de Apertura y Campo de Visión

La relación entre el campo de apertura y el campo de visión afecta directamente la calidad de las imágenes obtenidas:

  • Campo de apertura pequeño: Mejora la resolución lateral, pero genera un campo de visión más estrecho, adecuado para estructuras superficiales.
  • Campo de apertura grande: Aumenta el campo de visión, pero reduce la resolución lateral, siendo ideal para explorar áreas más grandes y estructuras profundas.

Importancia de la Elección de la Sonda

La elección correcta de la sonda, considerando su campo de apertura y visión, es crucial para obtener imágenes de alta calidad y diagnósticos precisos. Una sonda con un campo de apertura y visión inadecuados puede distorsionar las imágenes, dificultando la identificación de estructuras anatómicas importantes.

Resumen de Selección de Sondas

Tipo de Sonda Campo de Apertura Campo de Visión Uso Ideal
Sonda Lineal Estrecho Rectangular Superficial, alta resolución lateral (músculos, tendones, vasos superficiales)
Sonda Convexa Ancho Sectorial Órganos profundos (hígado, riñones, bazo)
Sonda Microconvexa Intermedio Intermedio Aplicaciones versátiles, tanto superficiales como profundas
Sonda Endocavitaria Muy pequeño Limitado Estructuras pequeñas y de difícil acceso (órganos pélvicos, transesofágica)
👉📟 Ir a Imagineus®.
Interacción Sonido con tejidos: Just do It!

Imagenus 1: Ejemplo de imagen ecográfica mostrando estructuras hiper, hipo e isoecogénicas (calota craneal hueso, grasa, lipoma)

Factores a Considerar para la Elección de la Sonda

Al seleccionar la sonda adecuada, es esencial considerar:

  • La estructura a estudiar: Tamaño, profundidad y localización de la lesión.
  • El acceso al paciente: Condiciones como la ventana acústica y la posición del paciente.
  • La pregunta clínica: Qué se busca en el examen, si se necesitan detalles finos o una exploración más amplia.

Esta intefaz de usuario, la podras encotnar en el modulo del curso II: Parametros nivel avanzado ( pronto)

Presets en Ecografía

Los presets ecográficos son configuraciones preestablecidas en los equipos de ultrasonido que están diseñadas para optimizar la calidad de la imagen según el tipo de estudio que se realizará. Cada preset ajusta parámetros clave como la frecuencia del transductor, la profundidad de escaneo, la ganancia (brillo general de la imagen), el enfoque y los filtros, de manera que las imágenes obtenidas sean adecuadas para el área anatómica en cuestión. Por ejemplo, al realizar un estudio abdominal, se seleccionará un preset que priorice una mayor profundidad de penetración y un menor nivel de detalle, ya que los órganos abdominales están situados más profundamente en el cuerpo. En contraste, un preset para estudios vasculares ajustará la configuración para captar flujos sanguíneos con mayor sensibilidad mediante modos Doppler y resoluciones más finas.

El uso de presets no solo facilita el trabajo del operador, sino que también garantiza una mayor uniformidad en los estudios realizados por distintos profesionales, permitiendo una comparación más precisa entre imágenes tomadas en diferentes momentos. Por ejemplo, un preset obstétrico está configurado para visualizar estructuras fetales, priorizando una alta resolución en planos superficiales y configuraciones de Doppler adaptadas a flujos fetales. En cambio, un preset musculoesquelético enfatizará imágenes detalladas de tejidos superficiales, como tendones y músculos, utilizando frecuencias más altas para lograr una resolución superior.

Ventanas Acústicas en Ecografía

Las ventanas acústicas son puntos o áreas del cuerpo desde donde las ondas sonoras del transductor pueden penetrar de manera óptima hacia las estructuras internas. Dado que el ultrasonido se transmite de manera más eficiente a través de tejidos homogéneos y con menor impedancia acústica, las ventanas acústicas permiten obtener imágenes más claras y detalladas de los órganos u otras estructuras anatómicas. Por ejemplo, en la evaluación del corazón mediante ecocardiografía transtorácica, la ventana acústica más común es entre las costillas, donde los ultrasonidos pueden evitar obstáculos como el aire de los pulmones y las costillas mismas.

El concepto de ventana acústica también se aplica en situaciones clínicas específicas. Por ejemplo, para evaluar el hígado, el operador puede aprovechar el epigastrio o el flanco derecho como ventanas acústicas, dado que el hígado se encuentra adyacente a la pared abdominal y ofrece un medio ideal para la transmisión del ultrasonido. En casos más complejos, como estudios craneales en neonatos, la fontanela sirve como una ventana acústica natural debido a la ausencia de hueso sólido, permitiendo visualizar estructuras intracraneales con facilidad. Las ventanas acústicas son, por tanto, fundamentales para maximizar la eficacia de los estudios ecográficos, adaptando la técnica según las características individuales del paciente.

Optimización de Parámetros en Ecografía

La optimización de los parámetros en ecografía es clave para obtener imágenes de alta calidad, adaptadas a las necesidades clínicas y anatómicas específicas. Estos ajustes permiten al operador refinar la claridad, resolución y contraste de la imagen, lo que contribuye a un diagnóstico más preciso.

Ganancia

La ganancia es el ajuste que controla el brillo general de la imagen ecográfica al amplificar las señales recibidas por el transductor. Un aumento excesivo en la ganancia puede provocar imágenes demasiado brillantes y pérdida de detalles, mientras que una ganancia baja puede oscurecer las estructuras. Por ejemplo, al explorar tejidos abdominales profundos, una ganancia adecuada resalta los contornos de los órganos sin saturar la imagen. La ganancia es un control esencial que regula la intensidad de la señal de eco recibida y, en consecuencia, la luminosidad de la imagen en la pantalla. Al aumentar la ganancia, se amplifican los ecos de retorno, lo que hace que la imagen se vea más brillante. Por el contrario, disminuir la ganancia reduce el brillo, proporcionando una imagen más oscura. Un ajuste adecuado de la ganancia es crucial para diferenciar las estructuras anatómicas sin crear artefactos o distorsiones en la imagen. Este parámetro ayuda a compensar la atenuación del ultrasonido en tejidos más profundos. La ganancia regula la intensidad de la señal de eco recibida y, en consecuencia, la luminosidad de la imagen en la pantalla. Al aumentar la ganancia, se amplifican los ecos de retorno, haciendo que la imagen se vea más brillante. Disminuirla reduce el brillo, proporcionando una imagen más oscura. Este ajuste es crucial para diferenciar las estructuras anatómicas sin crear artefactos o distorsiones, especialmente en tejidos profundos donde la señal puede atenuarse.

👉 Pulsa sobre la imagen para acceder.
Pasos básicos del camino de los ultrasonidos

Figura 2:Preset de Sondas

Explora más sobre Ganancia en el simulador interactivo.
Ganancia en ecografía

Imagenus 1: Ejemplo de ajuste de ganancia en una ecografía.

Rango Dinámico

El rango dinámico determina el nivel de contraste en la imagen ecográfica al limitar o expandir la gama de tonos entre el blanco y el negro. Un rango dinámico amplio permite distinguir mejor los tejidos de similar ecogenicidad, mientras que uno estrecho resalta las diferencias más marcadas. Esto es particularmente útil en estudios vasculares o musculoesqueléticos, donde el contraste puede ser esencial.

👉 Pulsa sobre la imagen para acceder.
Pasos básicos del camino de los ultrasonidos

Figura 2:Preset de Sondas

Foco

El foco es el punto del haz de ultrasonido donde se concentra la máxima resolución. Ajustar el foco correctamente permite optimizar la nitidez en áreas específicas de la imagen. Por ejemplo, al evaluar una lesión superficial, se coloca el foco a nivel de la lesión para resaltar detalles. Si el foco no está bien ajustado, las estructuras pueden aparecer menos definidas.

👉 Pulsa sobre la imagen para acceder.
Pasos básicos del camino de los ultrasonidos

Figura 2:Preset de Sondas

Persistencia

La persistencia controla el grado de suavizado aplicado a la imagen al promediar múltiples fotogramas. Una alta persistencia genera imágenes más suaves, reduciendo el ruido, pero puede sacrificar la capacidad de detectar movimientos rápidos, como el flujo sanguíneo. En estudios dinámicos como el Doppler, se prefiere una persistencia baja para capturar los cambios en tiempo real.

👉 Pulsa sobre la imagen para acceder.
Pasos básicos del camino de los ultrasonidos

Figura 2:Preset de Sondas

👉 Pulsa sobre la imagen para acceder.
Pasos básicos del camino de los ultrasonidos

Figura 2:Preset de Sondas

Potencia Acústica

La potencia acústica regula la intensidad de las ondas sonoras emitidas por el transductor. Aunque una mayor potencia mejora la penetración en tejidos profundos, puede generar artefactos o aumentar el riesgo de calentamiento de los tejidos. En exploraciones neonatales o fetales, se utilizan niveles de potencia bajos para minimizar el impacto en los tejidos sensibles.

👉 Pulsa sobre la imagen para acceder.
Pasos básicos del camino de los ultrasonidos

Figura 2:Preset de Sondas

Frecuencia de Emisión

La frecuencia de emisión es crucial para equilibrar la resolución y la profundidad en ecografía. Las frecuencias altas ofrecen una excelente resolución para estructuras superficiales, como tendones y piel, mientras que las frecuencias bajas permiten una mejor penetración en tejidos profundos, como el abdomen o el corazón.

👉 Pulsa sobre la imagen para acceder.
Pasos básicos del camino de los ultrasonidos

Figura 2:Preset de Sondas

👉 Pulsa sobre la imagen para acceder.
Pasos básicos del camino de los ultrasonidos

Figura 2:Preset de Sondas

Tipo de Haz

Los diferentes tipos de haz, como el lineal, convexo y sectorial, se adaptan a distintas áreas del cuerpo y aplicaciones clínicas. Por ejemplo, un transductor lineal genera un haz recto ideal para estructuras superficiales como vasos sanguíneos, mientras que uno sectorial produce un haz en forma de abanico para explorar áreas profundas y pequeñas, como el corazón.

👉 Pulsa sobre la imagen para acceder.
Pasos básicos del camino de los ultrasonidos

Figura 2:Preset de Sondas

Mapa de Grises

El mapa de grises afecta cómo se representan las distintas intensidades de eco en la imagen. Al elegir un mapa adecuado, el operador puede ajustar la visualización de los tejidos según su ecogenicidad, mejorando la diferenciación entre ellos. Por ejemplo, en ecografías hepáticas, un mapa de grises optimizado facilita distinguir entre el hígado y estructuras adyacentes.

👉 Pulsa sobre la imagen para acceder.
Pasos básicos del camino de los ultrasonidos

Figura 2:Preset de Sondas

Postproceso en Ecografía

El postproceso en ecografía se refiere a los pasos que se realizan después de capturar las imágenes o videos para optimizar la interpretación y el uso clínico de los datos obtenidos. Esta etapa incluye ajustes, almacenamiento, análisis y generación de informes, permitiendo una mejor documentación y comprensión de los hallazgos ecográficos.

👉 Pulsa sobre la imagen para acceder.
Pasos básicos del camino de los ultrasonidos

Figura 2:Preset de Sondas

Captura de Imágenes

La captura de imágenes consiste en guardar fotogramas seleccionados durante el estudio ecográfico. Estas imágenes suelen elegirse para resaltar las características anatómicas o patológicas más relevantes. Por ejemplo, al evaluar un quiste ovárico, el operador capturará las vistas que muestren su tamaño, contorno y relación con estructuras adyacentes.

Video

La grabación de video en ecografía permite documentar secuencias en tiempo real, como el movimiento del corazón o el flujo sanguíneo en un vaso. Esto es especialmente útil en estudios dinámicos, como los realizados con Doppler color, donde las imágenes fijas no capturan adecuadamente la funcionalidad o el patrón de flujo observado.

Inversión de Imagen

La inversión de imagen consiste en alterar la orientación de las imágenes para facilitar su interpretación. Por ejemplo, en ecografías abdominales, invertir la dirección puede ser útil para comparar directamente estructuras simétricas o analizar áreas desde una perspectiva diferente, mejorando la detección de anomalías.

👉 Pulsa sobre la imagen para acceder.
Pasos básicos del camino de los ultrasonidos

Figura 2:Preset de Sondas

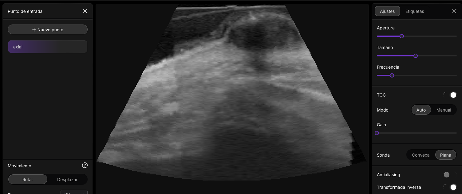
Compensación de Ganancia por Tiempo (TGC)

La compensación de ganancia por tiempo (TGC) ajusta la ganancia de forma independiente a diferentes profundidades, ayudando a mejorar la uniformidad de la imagen al corregir la atenuación del ultrasonido en tejidos más profundos. Esto garantiza una visualización clara tanto de las estructuras superficiales como profundas, optimizando la calidad de la imagen.

Explora más sobre TGC en el simulador interactivo.
TGC en ecografía

Imagenus 6: Ejemplo de ajuste de TGC en ecografía para mejorar la imagen en profundidad.

Simulador de TGC Al pulsar sobre la imagen accederás a un jugable docente.
Simulador de TGC

Figura 6: Simulador interactivo de TGC para ajustar la imagen en función de la profundidad.

Zoom

El zoom permite ampliar una sección específica de la imagen para observar detalles con mayor precisión. Es especialmente útil para estudiar zonas pequeñas o anomalías específicas, permitiendo un análisis detallado sin perder el contexto general de la imagen.

Simulador de Zoom Al pulsar sobre la imagen accederás a un jugable docente.
Simulador de Zoom

Figura 7: Simulador para practicar el ajuste de zoom en una imagen ecográfica.

El manejo adecuado de estos controles es esencial para obtener imágenes ecográficas de calidad y garantizar un diagnóstico preciso. Cada parámetro tiene un impacto directo en la claridad de las estructuras internas y permite al operador optimizar la exploración de manera dinámica y efectiva.

Filtros

Los filtros en ecografía se aplican durante el postproceso para mejorar la calidad de las imágenes reduciendo artefactos o resaltando detalles específicos. Un ejemplo común es el uso de filtros de suavizado para eliminar ruido en imágenes con estructuras homogéneas, como el hígado, o filtros de realce para destacar bordes en estudios musculoesqueléticos.

Mediciones

Las mediciones son una función clave del postproceso que permite cuantificar estructuras y distancias dentro de la imagen ecográfica. Estas herramientas se utilizan para evaluar el tamaño de lesiones, diámetros de vasos o volúmenes de órganos. Por ejemplo, en obstetricia, medir la circunferencia cefálica del feto ayuda a estimar su edad gestacional.

Reducción de Ruido

La reducción de ruido se enfoca en eliminar interferencias no deseadas en la imagen, lo que mejora la claridad y precisión diagnóstica. Técnicas como la eliminación de artefactos de reverberación son útiles en áreas donde la ecografía enfrenta mayor impedancia, como las evaluaciones pulmonares.

Almacenamiento de Imágenes

El almacenamiento de imágenes y videos es una parte esencial del postproceso, ya que permite conservar registros para análisis posterior o comparaciones futuras. Estos datos pueden almacenarse localmente en el equipo de ultrasonido o transferirse a sistemas PACS (Sistema de Archivo y Comunicación de Imágenes) para facilitar el acceso y la gestión centralizada.

Informe

La generación de informes es el paso final del postproceso, donde se documentan los hallazgos, mediciones y observaciones realizadas durante el estudio. Este informe se comparte con otros profesionales de la salud para apoyar el diagnóstico y las decisiones clínicas. Por ejemplo, en un informe de ecografía hepática, se describirán características como el tamaño, la ecogenicidad y la presencia de lesiones focales.

Lenguaje del Ultrasonido: Términos Clave en la Imagenología Ecográfica

La ecografía tiene su propio lenguaje técnico, compuesto por términos específicos que describen las características y propiedades de las estructuras observadas en la imagen. Este lenguaje ayuda a los especialistas a comunicarse con precisión sobre los hallazgos y a interpretar con claridad las imágenes. A continuación, se describen algunos de los términos más comunes en ecografía y su significado en la práctica clínica.

Ecogenicidad

La ecogenicidad se refiere a la capacidad de un tejido para reflejar las ondas de ultrasonido. Dependiendo de su densidad y composición, los tejidos reflejan las ondas de manera diferente, produciendo imágenes de diversos niveles de brillo en la pantalla. Los términos asociados con la ecogenicidad incluyen: hiperecoico (estructuras que reflejan mucho sonido, apareciendo brillantes, como los huesos), hipoecoico (estructuras que reflejan menos sonido y se ven más oscuras, como los músculos), y anecoico (sin ecos, como los líquidos, que aparecen negros en la pantalla).

Explora más sobre Ecogenicidad en el simulador interactivo.
Ecogenicidad en ecografía

Imagenus 1: Ejemplo de estructuras hiperecoicas, hipoecoicas y anecoicas en ecografía.

Explora más sobre TGC en el simulador interactivo.
TGC en ecografía

Imagenus 6: Ejemplo de ajuste de TGC en ecografía para mejorar la imagen en profundidad.

Resolución

La resolución en ecografía se refiere a la capacidad para distinguir detalles en la imagen. Existen diferentes tipos de resolución, como la resolución axial, que permite diferenciar estructuras situadas en el mismo eje de la onda de ultrasonido, y la resolución lateral, que distingue estructuras en un plano perpendicular a la onda. Una buena resolución permite ver con claridad las fronteras y contornos de diferentes estructuras anatómicas.

Explora más sobre Resolución en el simulador interactivo.
Resolución en ecografía

Imagenus 2: Resolucion de contraste

Simulador de Resolución Al pulsar sobre la imagen accederás a un jugable docente.
Simulador de Resolución

Figura 2: Adenomiosis vesicular

Profundidad y Penetración

La profundidad es el rango en el que el ultrasonido puede penetrar y devolver una imagen. A medida que las ondas se adentran en el cuerpo, su intensidad se atenúa. La capacidad de penetración se optimiza con frecuencias bajas, pero a costa de la resolución de la imagen. La elección de la profundidad adecuada permite al operador ajustar el rango visualizado en función de la estructura que se desea estudiar.

Explora más sobre Profundidad y Penetración en el simulador interactivo.
Profundidad y penetración en ecografía

Imagenus 3: Ejemplo de imagen de ecografía mostrando diferentes profundidades.

Escala de Grises

Las imágenes de ecografía se representan en una escala de grises, donde los tonos dependen de la cantidad de eco que devuelve cada tejido. La escala de grises permite diferenciar tejidos según su ecogenicidad: los tonos blancos representan estructuras hiperecoicas, mientras que los tonos más oscuros representan estructuras hipoecoicas o anecoicas. Esta escala facilita la identificación de anomalías al contrastar diferentes tipos de tejidos.

Comprender estos términos es esencial para interpretar correctamente las imágenes de ecografía y mejorar la precisión en el diagnóstico. El lenguaje técnico facilita la comunicación de hallazgos clínicos y contribuye a un análisis detallado y preciso.

© 2024 Todos los derechos reservados. Este contenido está protegido por derechos de propiedad intelectual.

Autor: PhD. Dr. J. Calabia | Diseño Web: Giveme5d.com